
🦷 Dental exam and smile preview
📸 Professional photos
😁 Personalized Presentation and treatment plan
💰 $500 Treatment Credit (towards your braces)
💳 0% APR Financing for Qualified Credit
🧘♀️ Boutique-experience
🌴 FL Licensed Dentists










Hi, We’re Dr. Alex and Dr. Victor 👋
We created MNÉMAL DENTAL to change the way people experience dentistry.
Everything we do happens in-house. From cleanings to braces, extractions, full-mouth rehabilitation, implants, sedation, IV vitamin therapy, and more!
No referrals. No waiting. Just comprehensive, advanced care under one roof. This allows us to pass on the savings to YOU!!
Our goal is simple: to help you look, feel, and live better — starting with your smile, at an accessible price.
Yes, we are Florida-licensed Dentists at MINÉMAL DENTAL MIAMI, FL (Dr. Alex & Dr. Victor)
This is a huge value, you get a 2) Exam & Full Set of Xrays 3) CBCT 4) Personalized Presentation, professional photos, and Treatment Plan 5) $500 towards your smile plan. But hurry! We are only doing this for 10 lucky patients who sign up first :)
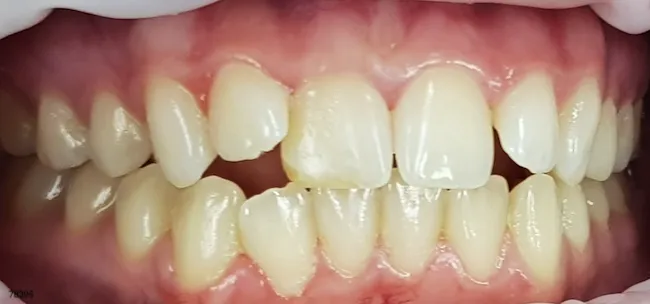
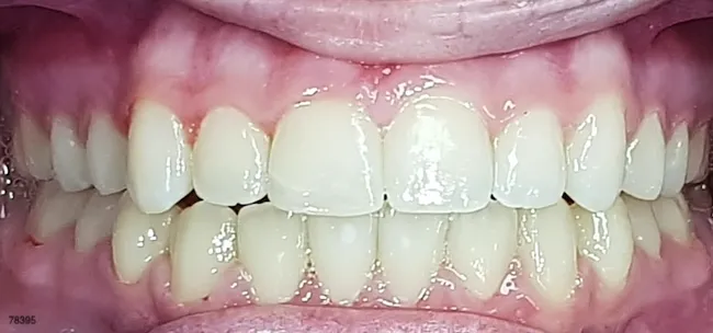
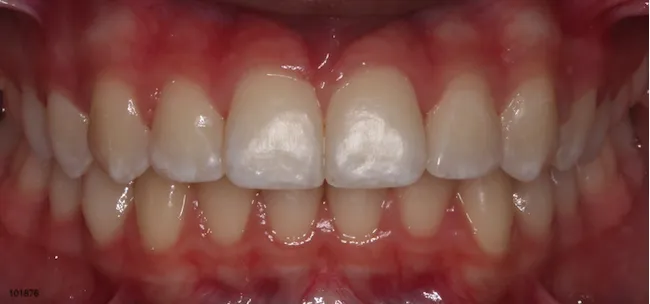
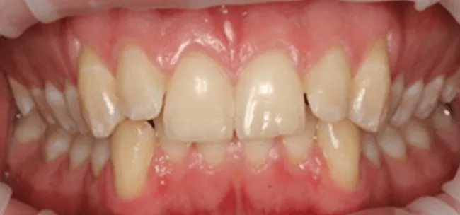
We are MINÉMAL DENTAL, we actually specialize in boutique-style dental care. We offer braes, aligners, smile designs, All-ON-X implants, veneers, orthodontics, surgery, extractions, moderate sedation-we do it all!
In the heart of Miami - Westchester!
8463 Bird Road Miami , FL 33155
